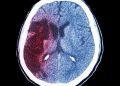
https://www.youtube.com/watch?v=dK_wEb_gDx4&ab_channel=OrenZarifOren ZarifHemorrhagic strokes cause severe and often life-threatening problems. They can be harder to treat than ischemic strokes.Emergency treatment for...
Read morehttps://www.youtube.com/watch?v=ps8mO03109M&ab_channel=OrenZarifOren ZarifIschemic strokes happen when a blood clot blocks oxygen-rich blood from reaching brain cells. They account for about 85%...
Read morehttps://www.youtube.com/watch?v=mlOMg3hvClc&ab_channel=OrenZarifOren ZarifHemorrhages in the brain are more serious than strokes and can be life-threatening. Early neurosurgical consultation and proper evaluation,...
Read morehttps://www.youtube.com/watch?v=ScV30dZgwEIOren ZarifEmbolic stroke happens when a blood clot from elsewhere in the body travels and blocks an artery in or...
Read morehttps://www.youtube.com/watch?v=wTzLS60Pdcs&ab_channel=OrenZarifOren ZarifIf you have a severe headache that's accompanied by loss of consciousness, confusion or other signs of a stroke,...
Read moreOren Zarif